Przypadki

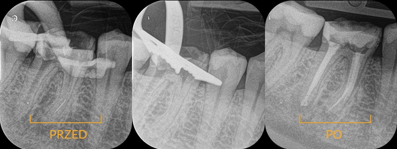
Złamane narzędzie w kanale zęba

Złamane narzędzie w kanale zęba

Pacjent leczony poza naszą kliniką zgłasza się z bólem. Zdjęcie wykazuje zmiany zapalne okołokorzeniowe, a także pozostawione w kanale złamane narzędzie (pilnik), które uniemożliwia jego opracowanie. Tylko w powiększeniu mikroskopu lekarz jest w stanie usunąć przeszkodę i opracować kanał do końca. Nasza endodontka przystępuje do pracy, usuwając najpierw narzędzie, potem wykonując powtórne leczenie kanałowe. Kontrolne zdjęcie wykazuje prawidłowe wypełnienie kanałów, a także gojenie zmiany zapalnej.

 

 

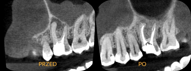
Infekcja zatok - efekt nieprawidłowego leczenia kanałowego

Infekcja zatok - efekt nieprawidłowego leczenia kanałowego

Wielu pacjentów, mających kłopot z zatokami nie wie, że źródłem mogą być zęby! Nieprawidłowe leczenie kanałowe u pacjentki stało się ogniskiem bakterii powodującym infekcję zatoki. Na zdjęciu widoczne nieprawidłowe leczenie kanałowe - kanały niedopełnione, pominięty w pierwotnym leczeniu 4 kanał. Zmiana zapalna okolicy korzenia i pogrubiona zapalnie błona śluzowa zatoki szczękowej. Przeprowadzono prawidłowe leczenie kanałowe. Po trzech miesiącach badanie kontrolne cbct wykazuje wygojenie kości i zatoki.

Trzy siekacze po wypadku - wskazanie: do usunięcia. Uratowane!

Trzy siekacze po wypadku - wskazanie: do usunięcia. Uratowane!

Pacjent zgłosił się do Luxdentica z poważnym problemem - w wyniku wypadku uszkodził żuchwę i kilka przednich zębów. Dzięki współpracy periodontologa, chirurga, a także dzięki leczeniu kanałowemu nie stracił żadnego zęba, chociaż na początku sytuacja wskazywała na konieczność usunięcia 3 siekaczy.

Reendo i odbudowa protetyczna

Reendo i odbudowa protetyczna

Pacjent zgłasza się ze złamaną ścianą zęba. Chce jak najszybciej odbudować nadłamaną część. 15 lat temu ząb był leczony kanałowo. Kontrolne zdjęcie wykazuje nieprawidłowo wypełnione kanały korzenia, wypełnienie jest nieszczelne, pojawiła się też rozległa próchnica. Lekarz nie może podjąć się odbudowy zęba, bez wcześniejszego powtórnego leczenia kanałowego. Usuwa stary materiał, opracowuje kanały na nowo, wypełniając je na koniec ciepłą gutaperką. W związku z rozległym uszkodzeniem korony zęba zostaje zaplanowana odbudowa protetyczna.

Zatrzymana "ósemka"?

Zatrzymana "ósemka"?

Pacjent zgłasza się do naszej kliniki z silnym bólem i obrzękiem oraz wstępną diagnozą: do usunięcia zatrzymana „ósemka”. Tomografia pokazuje, że przyczyna bólu tkwi gdzie indziej. Jego źródłem jest „siódemka”. Świadczą o tym zmiany zapalne wokół korzeni. Nieprawidłowa diagnostyka dodatkowo naraziłaby pacjenta na skomplikowany zabieg usunięcia zatrzymanej, położonej poziomo "ósemki" znajdującej się blisko nerwu. Decyzją chirurga i endodonty zatrzymana „ósemka” pozostaje do obserwacji, a lekarz przystępuje do leczenia kanałowo „siódemki”.

Ząb po replantacji

Ząb po replantacji

Pacjentka skierowana z innego gabinetu do leczenia kanałowego pod mikroskopem w celu zachowania zęba po replantacji. Przypadek szczególny – Pacjentce przez pomyłkę usunięto „siódemkę” zamiast „szóstki”. Ząb został osadzony na swoim miejscu, a Pacjentka została skierowana do naszego endodonty. Po roku przechodzi w Luxdentica niezbędną kontrolę zęba włącznie ze zdjęciami rtg – wyniki są poprawne.

Najlepsza w Krakowie wg GCR

Atuty leczenia w Luxdentica

Bufet
Bufet
Gabinet przyjazny dziecku
Gabinet przyjazny dziecku
RTG
RTG
WiFi
WiFi
TV
TV
Pantomograf
Pantomograf
Parking
Parking
Udogodnienia dla niepełnosprawnych
Udogodnienia dla niepełnosprawnych
Bezbolesne znieczulenie
Bezbolesne znieczulenie
Płatność kartami
Płatność kartami
Kredytowanie leczenia
Kredytowanie leczenia
Klimatyzacja
Klimatyzacja
Mapa niedostępna